¿Qué es CEREC y por qué revolucionó la Odontología?
- Odontología Central

- 25 dic 2025
- 2 Min. de lectura

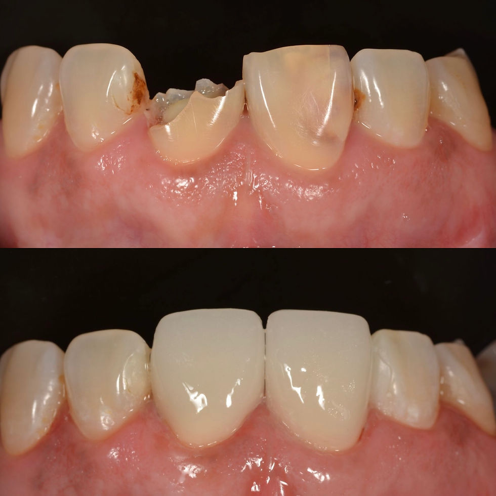
El sistema CEREC (por sus siglas en inglés Chairside Economical Restoration of Esthetic Ceramics) es una tecnología dental digital CAD/CAM que permite a los odontólogos diseñar y fabricar restauraciones cerámicas personalizadas (como coronas, carillas, incrustaciones, onlays y puentes) en una sola visita a la clínica. Su primera versión (CEREC 1) se lanzó el año 1983.
Nuestra clínica dental en Curanilahue desde hace 10 años que cuenta con tecnología CEREC, por lo mismo son muchísimos pacientes que han sido beneficiados con esta tremenda forma de atención, muy distinta a la que trabaja la mayoría de las clínicas.
En vez de tomar moldes con pastas incómodas y enviar las impresiones a un laboratorio externo, CEREC utiliza un escáner intraoral de alta precisión para capturar una impresión digital 3D de la boca del paciente.

Esta impresión se procesa con un software CAD para diseñar la restauración, y luego una fresadora CAM la fabrica en cerámica de alta calidad mientras el paciente espera. PMC
📌 ¿Qué significa CAD/CAM?
CAD (Computer Aided Design): diseño asistido por computadora.
CAM (Computer Aided Manufacturing): fabricación asistida por computadora.Estas tecnologías combinadas permiten crear restauraciones de alta precisión sin pasos intermedios manuales.
🛠️ ¿Cómo funciona el flujo de trabajo CEREC?
Escaneo digital: utilizamos un escáner intraoral para obtener un modelo 3D en tiempo real de la boca del paciente. oralita.com
Diseño digital: el software CEREC genera la restauración en 3D, pudiendo ajustar forma, oclusión y contactos. PMC
Fresado: una unidad de fresado corta la restauración a partir de un bloque sólido de cerámica en cuestión de minutos. assets.dentsplysirona.com
Colocación: la restauración se adapta y cementa en el mismo día.
👉 Esto significa que el paciente puede salir con una corona, carilla o incrustación definitiva en una sola visita, sin coronas provisionales y sin esperas prolongadas.
📊 Comparación: Sistema tradicional vs. Sistema CEREC
📊 Comparación: Sistema tradicional vs. Sistema CEREC
Característica | Sistema Tradicional | Sistema CEREC |
Impresiones | Molde con pastas físicas, incómodas | Impresión digital con escáner intraoral |
Número de citas | 3 a 4 o más visitas | 1 visita en la mayoría de los casos |
Tiempo de fabricación | Días a semanas en laboratorio | 1 hora y media en promedio |
Corona temporal | Sí, necesaria | No necesaria |
Precisión | Variable según técnica | Alta precisión digital PMC |
Materiales cerámicos | Sí, lab fabricados | Sí, bloques cerámicos de alta calidad assets.dentsplysirona.com |
Ajustes posteriores | Comunes | Reducidos PMC |
Costos | Variables (algunas veces cobran laboratorio aparte) | Generalmente menor por eliminación de costos externos |

🧠 Conclusión
El sistema CEREC representa la evolución de la odontología restauradora, permitiendo restauraciones cerámicas precisas, estéticas y duraderas en una sola cita. Esto optimiza la experiencia para el paciente y permite al profesional ofrecer servicios más eficientes y modernos. dentsplysirona.com
Si buscas un dentista en Curanilahue que tenga esta tecnología ya sabes donde encontrarnos, estamos en Arturo Prat 1264, Curanilahue, visítanos o agenda una hora directamente a través de esta página, te esperamos!

Comentarios